Für die Patient:innen ist es wichtig, das erzielte Ergebnis zu erhalten. Nach erfolgter Behandlung können verschiedene Retentionsgeräte angefertigt werden, die je nach Behandlung mindestens ein Jahr nach abgeschlossener festsitzender Therapie in der Nacht getragen werden müssen.
Positioner
Der Positioner wird unmittelbar nach Bracketabnahme eingesetzt, er wird mithilfe von einartikulierten Modellen in einem aufwendigen Verfahren hergestellt. Mit seiner Hilfe wird eine stabile Feineinstellung der Verzahnung (Retention) sowie eine physiologische Kiefergelenksposition erreicht.
Tragedauer: max. 2-3 Monate
Tiefziehschiene
Die Tiefziehschiene besteht aus einem durchsichtigen Material und ist somit für das Umfeld kaum sichtbar. Sie stabilisiert die Position der Zähne und wird ausschließlich in der Nacht getragen. Durch exakte Passform hat die Patient:in ein exzellentes Instrument zur Hand, um kleinste Veränderungen mittels Schiene sofort feststellen zu können. Kleine Verschiebungen der Zähne können auch mit der Schiene rückgängig gemacht werden.
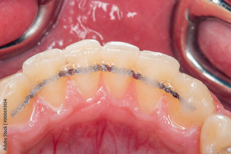
Der geklebte Retainer
Es handelt sich um einen dünnen Draht, der zur zusätzlichen Retention auf die Innenseite der Ober- bzw. Unterkieferfrontzähne geklebt wird. Er ist somit praktisch unsichtbar und kann einige Jahre im Mund belassen werden. Wenn sich eine Klebstelle lösen sollte, werden die Patient:innen angewiesen, sofort für eine Reparatur in die Ordination zu kommen.
Kontakt
Ordination Graz
- Münzgrabenstraße 62-64, 8010 Graz
- +43 316 81 28 28
- office@zahnregulierung.at
Ordination Leibnitz
- Wagnastraße 1, 8430 Leibnitz
- +43 3452 760 60
- office-leibnitz@zahnregulierung.at
Kieferorthopädie Dr. Permann
Ein Herz für Zähne in Graz und Leibnitz.
Ordination Graz
- Münzgrabenstraße 62-64, 8010 Graz
- +43 316 81 28 28
- office@zahnregulierung.at
-
Montag08:00 – 12:00 und 13:00 – 17:00
-
Dienstag08:00 – 13:00 und 14:00 – 17:00
-
Mittwoch08:00 – 13:00 und 14:00 – 18:00
-
Donnerstag08:00 – 13:00 und 14:00 – 17:00
-
Freitag08:00 – 10:00
Ordination Leibnitz
- Wagnastraße 1, 8430 Leibnitz
- +43 3452 760 60
- office-leibnitz@zahnregulierung.at
-
Montag08:00 – 13:00 und 14:00 – 17:00
-
Dienstag08:00 – 13:00 und 14:00 – 17:00
-
Mittwoch08:00 – 13:00 und 14:00 – 18:00
-
Donnerstagnach Vereinbarung
-
Freitag08:00 – 12:00
