Die moderne Kieferorthopädie ist in der Lage, alle Probleme von Zahn- und Kieferfehlstellungen in jedem Alter zu lösen. Natürlich gibt es auch andere Prioritäten als eine Regulierung, aber die Zeit vergeht so schnell und in vielen Fällen braucht man die Brackets nicht länger als 1 Jahr zu tragen. Und außerdem gibt es auch weiße oder innen liegende Brackets.
Selbstligierende Brackets
Bei dieser Art von Brackets wird der Bogen nicht mehr durch Drahtligaturen, sondern durch einen speziellen Mechanismus im Bracket selbst fixiert. Die daraus resultierende geringere Friktion (Reibung) bedingt kürzere Behandlungszeiten und eine perfekte Verzahnung. In sehr vielen Fällen beträgt die Bracketstragezeit dadurch nicht länger als ein Jahr.
Zahnfleischprobleme
Eine fortgeschrittene, aber entzündungsfreie Parodontalerkrankung stellt keine Kontraindikation dar, im Gegenteil können in solchen Fällen sehr schöne ästhetische Resultate erzielt werden. Patient:innen mit Problemen des Zahnhalteapparates (parodontale Erkrankungen) neigen dazu, unschöne Zahnfehlstellungen und Zahnlücken aufgrund der zunehmenden Beweglichkeit der Zähne zu bekommen.
Nur mit Hilfe einer Zahnregulierung kann die Zahnstellung verändert und die Zahnlücken beseitigt werden. Somit kann wieder ein ansprechendes ästhetisches Resultat erreicht werden.
Zahnbewegungen mit Mini Screws
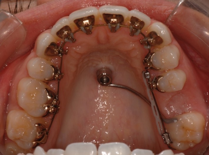
Gaumenimplantat
Im vorliegenden Fall hilft ein Gaumenimplantat mit einer entsprechenden Apparatur die Mahlzähne nach hinten (distal) zu bewegen, um eine korrekte Verzahnung einzustellen oder einen Engstand ohne Extraktion und ohne abnehmbare Geräte (z.B. Headgear) aufzulösen.
Top Jet
Auch die Gaumenapparatur „Top Jet“ mit zwei Minischrauben im Gaumen ermöglicht eine Distalisierung der Mahlzähne, ohne dass eine Mitarbeit der Patient:innen notwendig wäre (ersetzt den Headgear). Indem der Top Jet innen befestigt wird und die Brackets auf den Frontzähnen am Beginn der Behandlung noch nicht notwendig sind, erfolgt der erste Teil der Behandlung unsichtbar und damit ohne ästhetische Beeinträchtigung.
Indirect Bonding – indirektes Kleben
Diese Methode des indirekten Bracketklebens hat einen wesentlichen Fortschritt bezüglich der exakten Bracketpositionierung gebracht. Um eine perfekte Verzahnung sowie eine perfekte Zahnstellung zu erreichen, ist die exakte Positionierung des Brackets am Zahn eine unbedingte Voraussetzung und diese 100 % exakte Position am Zahn erreicht man nur durch das „indirect bonding“.
Bei dieser Methode werden die Brackets nach einem speziellen Abdruck zuerst auf ein Spezialgipsmodell geklebt. Mit einer Übertragungsschiene werden die Brackets in den Mund übertragen und geklebt. Der Vorteil dieser Methode liegt darin, dass die genaue Positionierung der Brackets am Modell und nicht im Mund der Patient:innen erfolgt.
Kombinierte kieferchirurgisch-kieferorthopädische Behandlungen
Wenn eine Diskrepanz der Kieferrelation vorliegt, ist zur Erreichung der optimalen Ästhetik sehr oft auch eine kieferorthopädische Operation notwendig. Als erster Schritt erfolgt eine kieferchirurgische Planung und ein persönliches Beratungsgespräch mit dem Kieferchirurgen. Die Operation ist ein Routineeingriff, vor dem sich die Patient:innen nicht fürchten müssen. Der Eingriff wird in Vollnarkose durchgeführt, der stationäre Aufenthalt dauert ca. 5 Tage. Nur bei einer richtigen Kieferrelation können die Zahnbögen perfekt zueinander passen, um ein dauerhaftes und schönes Resultat zu gewährleisten.
Kontakt
Ordination Graz
- Münzgrabenstraße 62-64, 8010 Graz
- +43 316 81 28 28
- office@zahnregulierung.at
Ordination Leibnitz
- Wagnastraße 1, 8430 Leibnitz
- +43 3452 760 60
- office-leibnitz@zahnregulierung.at
Kieferorthopädie Dr. Permann
Ein Herz für Zähne in Graz und Leibnitz.
Ordination Graz
- Münzgrabenstraße 62-64, 8010 Graz
- +43 316 81 28 28
- office@zahnregulierung.at
-
Montag08:00 – 12:00 und 13:00 – 17:00
-
Dienstag08:00 – 13:00 und 14:00 – 17:00
-
Mittwoch08:00 – 13:00 und 14:00 – 18:00
-
Donnerstag08:00 – 13:00 und 14:00 – 17:00
-
Freitag08:00 – 10:00
Ordination Leibnitz
- Wagnastraße 1, 8430 Leibnitz
- +43 3452 760 60
- office-leibnitz@zahnregulierung.at
-
Montag08:00 – 13:00 und 14:00 – 17:00
-
Dienstag08:00 – 13:00 und 14:00 – 17:00
-
Mittwoch08:00 – 13:00 und 14:00 – 18:00
-
Donnerstagnach Vereinbarung
-
Freitag08:00 – 12:00
